Altering the Incisal Edge Position for Optimal Function and Esthetics

Leonard A. Hess, DDS

November 2014 Issue - Expires Thursday, November 30th, 2017

The Dawson Academy

Abstract

Regardless of the economic conditions, many people will choose what is best for their long-term health and make decisions that will enhance their esthetics. Their concerns regarding the look of worn, chipped, or cracked teeth can often mask complex problems rooted in functionally derived issues. The dentist who overlooks this—thusly treating only esthetics—may fail. This issue can often be compounded by the patient;s limited focus on the visible anterior teeth with little concern for the posterior teeth.

You must be signed in to read the rest of this article.

Login Sign Up

Registration on CDEWorld is free. You may also login to CDEWorld with your DentalAegis.com account.

Many times, the problems that appear straightforward to the patient present significant treatment-planning difficulties for the dentist. A patient wanting longer teeth for a more youthful look often does not want to confront complex choices or have long-term treatment plans. This is when the dentist’s patient management skills become paramount. Simply modifying incisal length of the maxillary anteriors can be the beginning of esthetic, functional, and phonetic errors. Replacing one poor incisal edge position for another does little except create different problems at later times.

Determining the correct position of the incisal edges is the dentist’s responsibility. To prevent guesswork on the part of the technician, the dentist must systematically relay refined information to the laboratory. This allows the transfer of positions from provisional restorations to definitive restorations.

Planning for Functional Success

Managing complicated restorative situations may be overwhelming. Distilling the problem into manageable components is often helpful. Predictable success is usually the product of a consistent methodology in diagnosis and planning. It also allows the patient and dentist participation in the exploratory process and will aid in both parties’ commitment to the outcome.

The data collected before active restoration should include a complete medical and mental history, preoperative photographs, radiographs, periodontal examination, diagnostic impressions, facebow record, bite registrations in centric relation (CR) and maximum intercuspation, and a complete maxillofacial examination with emphasis on the temporomandibular joints (TMJ).1 Although the topic is beyond the scope of this article, it is important to reinforce this author’s restorative philosophy with regard to CR. Cases involving anterior reconstruction inherently have some form of occlusal instability. Therefore, joint health must be determined by beginning the restorative phase with the joints in CR. The stability regained through the proposed treatment will contribute to long-term success.

Emphasis must be placed on the pretreatment photographs obtained during treatment planning. This author employs numerous photographs during this phase. With regard to the incisal edge position, six photographs are critical, which include:

Factors Affecting the Position of the Incisal Edges

The anterior envelope of function determines the incisal edge position, which then dictates anterior guidance. The combination of the lingual contours, position, and inclination of the maxillary anterior teeth influence whether the relationship of the anterior guidance and envelope of function is harmonious. Improper positioning of the incisal edges can allow proper anterior guidance yet still interfere with the envelope of function.2

The neutral zone is the perioral complex comprised of the soft tissues and muscles surrounding the mouth and the opposing pressure exerted by the tongue.3 Prosthodontic errors that violate the neutral zone can cause discomfort in a patient and start a chain reaction of compensations. Lip closure paths and muscle-induced function against the teeth must be considered.

The interaction of the lower lip against the incisal edges is critical for many proper speech sounds. Misplacement of the incisal edge can create enunciation difficulties and minor impediments.

Determing the Length of Incisors

Vertical Incisal Edge Positon

Often, the maxillary incisors are the starting point for smile rehabilitation. Diagnostic planning should be precise because it influences symmetry, proportion, and functional parameters of the adjacent anterior teeth.4 The final restored length will be affected by various factors, including the lower lip position during smiling, the lip positions at rest, the lip positions in repose, upper lip characteristics, soft-tissue characteristics, the envelope of function, and facial proportion.5 Depending on the preparation style or restorative product used, the length will set the foundation for the width-to-length ratio. An acceptable ratio is approximately 80%.6,7 This also lays the foundation for the anterior golden proportion. Ideally, the width of the lateral incisor would be assigned a value of 1, the canine a value of 0.6, and central incisor a value of 1.6. This is an approximate measurement and should only be used when viewing from the direct anterior. The canines’ value of 0.6 from the anterior is dictated from the facial line angles and height of contour. When viewed laterally, the canine would have a value much greater than 0.6.8

Determining the correct length can be difficult in a patient who presents with a worn dentition. The length can only be estimated from known references and the data. The patient must test the result during the provisional phase. Studies of crown lengths have shown unworn central incisors average 11.69 mm in length and worn centrals average 10.67 mm in length.9 Figure 6 illustrates a patient in the rest position. This position is accomplished by having a patient close the lips with relaxed facial muscles, and then slightly open the lips as if to breathe through the mouth. Vig and Brundo determined that men show an average of 1.91 mm of central incisors; women display an average of 3.4 mm of central incisors. These amounts will decrease with age because of gravity’s effect on soft tissues.10 Figure 19 represents a patient in the “E” position. This is a repose position created by the lips and musculature when having the patient say “E.” It is similar to a smile position but simulates the position of the soft tissue in a more functional place. Ideally, the incisal edge of the central incisor will fall 50% to 60% of the distance between the upper and lower lips.

This author has found that 10.5 mm is a sufficient starting point for the central incisor length. Then, the “E” and rest positions are used to determine the approximate vertical position to place the incisal edge. In many cases involving tooth wear, the patient will want longer teeth. Simply adding length to the incisal to achieve 10.5 mm will often result in encroachment on the envelope of function and neutral zone. Phonetically, the position of the incisal edge is important when considering the lower lip. The lower lip must interact with the incisal edge naturally and effortlessly. This is evident during the pronunciation of words beginning with “V” and “F.” The incisal edge contact should occur in the inner vermillion border of the lip and not the cutaneous portion. This error can often be seen in restorations that are too long incisally.11

Determining the Horizontal Position of the Incisal Edge

Establishing the proper horizontal incisal edge position may be one of the most important yet commonly overlooked factors in anterior reconstruction. This position must accommodate the patient’s envelope of function and neutral zone. A position too far to the facial can cause interference as the lower lip closes to seal against the upper lip. Such an error also can affect the function of the upper lip, causing the lip to have to “work around” the incisal edge. Often, the patient will complain of muscle fatigue and a “not quite right” feeling during function. A lingualization mistake of the incisal edge can lead to an anterioposterior constriction in the patient’s envelope of function. This would occur as the edges interfere with the lower incisors arc of closure.12,13 Similarity exists with the vertical incisal edge position with regard to phonetics. A horizontal discrepancy can interfere with the production of “F” and “V.” In addition, the horizontal edge position must accommodate “S” sounds, which are created by squeezing air between the upper and lower incisors. These difficulties can frustrate the patient.14,15 This author has found it to be more common to err with the edge position to the facial. This is usually caused by the preparation design error of under-reduction and failure to reduce anterior teeth on three planes. When the middle and incisal thirds are under-reduced, the laboratory technician must fabricate an over-contoured restoration. Reduction stents can be produced from the diagnostic wax-up to aid in proper reduction depths. The final restorations should exhibit a three-plane convex contour seen in natural teeth (Figure 26 and Figure 27).

Communication with the Dental Ceramist and Restoration Selection

To create predictable success, the laboratory and ceramist must be a vital part of the process. The technician needs to have a mastery of functional smile design. Only then can the dentist and technician communicate effectively. A functional understanding of occlusion and smile design cannot stop once a case leaves the dentist’s office. The dentist is responsible for ensuring proper communication with the ceramist.

The necessary information would include preoperative and preparation photographs, as well as images of the provisional restorations. Impressions of the provisional restorations are vital. The ceramist must have a reference point to begin the functional contours of the final restorations. Putty stents can be made of the provisionals to exactly duplicate the position of the incisal edges and functional contours of the teeth. In addition, a facebow of the provisional restorations should be included. The facebow allows a 3D transfer of the maxilla (this includes the incisal edges) and TMJ to be transferred to the articulator. The facebow also allows transfer of the condylar axis of closure to be replicated. This is absolutely necessary when utilizing an open bite record used when capturing centric relation.16 The alternative is simply a total guess for the laboratory, which typically results in heavy adjustment of the restorations. Restoration selection is another opportunity for the dentist and ceramist to work together. The ceramist knows the limitations of materials and the requirements necessary to use their esthetic potential.

This author considers the following six factors in making a selection of the restorative material for indirect restorations.

Esthetic Risk

How much tooth is shown during a full smile? Is the cervical area easily seen? Is the dentist trying to cover dark tooth structure? Can a natural-looking restoration be created based on the patient’s desires and risks?

Occlusal Risk

What are the risks to the restorations during normal and abnormal functioning in the patient? Is the clinician in control of the joint position? Does the patient have bruxism? These factors will influence the restoration selection based on strength. A beautiful restoration that cannot withstand the occlusal forces is of little value.

Quality of the Enamel

A bonded restoration, especially veneers, requires healthy enamel to achieve necessary bond strengths. Poor quality or insufficient enamel may dictate the use of conventional cementation and a different material.

Quality of the Remaining Dentin

The dentin quality is particularly important in the posterior teeth. Unhealthy or sclerotic dentin offers less bond strength. So again, a different cementation option and material may be necessary.

Ability to Maintain Isolation

Partial isolation is not possible in resin bonding. Can the patient open sufficiently and long enough to achieve the bonding necessary? Can the doctor control the situation to ensure proper isolation and thus a pure bond?

Desire to Conserve Tooth Structure

Different materials dictate the amount of reduction necessary to achieve proper strength and esthetics. Con­servation of tooth structure should be a priority. Is there a material that can meet both the esthetic and reduction expectations? If not, compromise must come from one of them.

Detecting Errors in Incisal Position

A command of this knowledge is important not only for planning a case but also in helping to recognize mistakes.

Facial Positional Error

When the incisal edge is restored too far to the facial position, the patient may complain of teeth that feel too long or dry, or the upper lip function is hindered. The lower lip may feel overworked or that it must overextend forward to meet the incisal edge during “F” and “V” enunciations. Evidence may be found as the edges are interacting with the cutaneous portion of the lower lip. In addition, the patient may have trouble producing “S” sounds as the mandible strains to get close to the malpositioned incisal edges. This author has found that a facial error causes patients to have problems with sensation and phonetics.

Lingual Positional Errors

These errors often will be evident from problems associated with restoration failure. The edges will hit first in the patient’s arc of closure. Chipping of porcelain and debonding of the restorations are common. Problems with provisional restorations breaking or coming off can be a warning that contour changes are needed. Issues with provisionals should not be viewed as an aggravation but as a chance to refine positions and correct problems before they become set in porcelain. Dentists are advised to be cautious when patients complain of feeling the teeth are hitting wrong even when it only happens occasionally. The patient’s lower lip may also be overworking to the lingual position in order to interact with the lingualized edges. Difficulty may also be encountered during pronunciation of “S” sounds as teeth nip each other in this malposition.

Properly contoured and patient-tested provisional restorations are the only way to test the correctness of the incisal-edge position. Patients often want to limit their time in provisionals and will try to rush the process. Proper patient education and production of high-quality temporaries will alleviate this problem and provide the necessary information.

Case 1

This patient (Figure 1) presented with a desire to improve his smile. He was especially self-conscious of the diastemas present, especially on his right side (Figure 2 and Figure 3). From an esthetic standpoint, his anterior teeth lacked proper width-to-length ratios, and the result was poor golden proportion (Figure 4 and Figure 5). The patient had previous adult orthodontic therapy, and the teeth were moved into the “best” position at that time.

Evaluation of the rest position photograph (Figure 6) clearly showed that too much incisal length was an issue. The long length of the central incisors (more than 14 mm) dominated the smile, accentuating the lack of proportion. It was determined that the current horizontal position of the incisal edges was functionally acceptable.

The patient chose porcelain veneers to correct the deficits in his smile. There was clearly too much anterior arch spacing for the existing tooth size to fill. This forced the preparation design to go through the interproximal contacts. This would allow control of the tooth width, thus providing more ideal ratios and proportions in the restorations (Figure 7 and Figure 8).

Facial tooth reduction was set at 0.3 mm in an effort to leave the preparations in enamel where possible. The central incisors were reduced incisally to allow the final restored length of 11.5 mm. The preparation margins in the large diastema between teeth Nos. 6 and 7 were placed subgingivally (Figure 9) to allow a natural emergence profile. Without this design, the gingival embrasure area would have an unnatural “boxy” look. Achieving natural gingival embrasures and avoiding black triangles would be a critical element. The rest of the margins were placed at the gingival height.

The restorations used in the case were IPS Empress® pressed ceramic veneers (Ivoclar Vivadent, www.ivoclarvivadent.us). This material was selected for its higher strength when compared to stacked porcelain veneers as well as its highly esthetic capabilities.

The end result was an esthetically pleasing smile. The diastemas were naturally removed and a more symmetric smile was achieved (Figure 10 through Figure 14).

Case 2

There are times when a small anterior case can possess many treatment planning challenges. Case 2 was one of those cases. This patient presented to the office by a current patient referral. She knew that her smile could look better, and had been wanting to seek options for quite some time. Her main area of concern was the failing crown restorations on teeth Nos. 8 and 9, and the fact that they just did not look natural (Figure 15). She wanted to achieve a dramatic outcome working on the fewest teeth possible.

 

In her late teen years, the patient had undergone or­thodontic treatment, which included removal of the maxillary premolars. Teeth Nos. 8 and 9 both had endodontic treatment after a childhood sports accident. This incident left the maxillary central incisors partially ankylosed, which complicated their movement during the orthodontic treatment.

The horizontal position of the incisal edges (teeth Nos. 8 and 9) was too far labial. This can be seen in the tip-down photograph (Figure 16) and the lateral 90° photograph (Figure 17). When speaking, the patient had to work around the incisal edges as they were contacting the cutaneous portion of the lower lip. Vertically, the incisal edge position was too long. This was evident in the rest (Figure 18) and “E” position photographs (Figure 19). The patient’s preoperative smile had anterior teeth that looked short and square. In addition, excessive gingiva was showing and the patient complained of a “gummy” smile (Figure 20).

The cure for many proportional issues of the smile is to add length. However, it had already been established that excessive length already existed, so the only direction was upward or gingivally. The case was mounted in CR with a facebow on a semi-adjustable articulator. A diagnostic wax-up was created and stents fabricated (Figure 21 and Figure 22) to allow the periodontist to precisely move the bone and tissue apically on teeth numbers Nos. 6 to 11. The challenge would be to create natural emergence profiles (Figure 23 through Figure 25), slenderize and de-emphasize the centrals, and mesialize the laterals and canines to create pleasing proportions. Care was taken to wax-up all these details, so that the provisionals would be a diagnostic tool. In addition, it was critical to ensure adequate three-plane facial reduction in the preparations (Figure 26). New facial contours, incisal edge positions, and emergence profiles were being established. To obtain predictability, putty stents (Figure 27) were created from the wax-up, which showed if the reduction was adequate. The dentist should be certain to provide the ceramist room to create naturally contoured and esthetic restorations. By receiving impressions of refined and tested provisionals, the ceramist only needs to copy the contours already established.

The excessively dark structure of teeth Nos. 8 and 9 also proved to be an esthetic challenge (Figure 28). The preparation designs of the adjacent teeth allowed for conservative reductions of less than 0.5 mm, which would allow natural tooth body shade to reflect light through the restorations. The IPS e.max lithium-disilicate veneers (Ivoclar Vivadent) were placed on teeth Nos. 6, 7, 10, and 11. To cover the darkness of the centrals with an all-ceramic material, the ingots needed to be very opaque. The result would have been an optical value difference in the restorations that was not pleasing. To block the darkness, Captek™ crowns (Captek, www.captek.com) were placed on teeth Nos. 8 and 9.

Esthetic and functional success was achieved by analyzing the esthetic deficits in the smile and placing the incisal edges in their proper vertical and horizontal positions. The patient’s esthetic and financial demands were met with a minimal number of teeth being involved (Figure 29 through Figure 31).

Conclusion

These cases offered numerous challenges to achieving the necessary outcomes. Systematic application of the knowledge necessary to decide the incisal edge positions allows complex problems to be simplified. Predictable results were obtained by using contemporary restorative materials, the principles of smile design, and meeting functional requirements.

Acknowledgement

The author would like to thank his ceramist, Mike Felganhauer at Dental Arts Signature Laboratory (Peoria, IL), for his artistic contributions in these cases.

References

1. Hess L. Restoring the functional zone: correcting anterior constriction with centric relation-based prosthodontics. Inside Dentistry. 2007;3(9):74-79.

2. Dawson P. Functional Occlusion: From TMJ to Smile Design. St. Louis, Mo: Mosby; 2006:141-147.

3. Dawson P. Evaluation, Diagnosis, and Treatment of Occlusal Problems. 2nd ed. St. Louis, Mo: Mosby; 1989:330.

4. Hess L. Esthetic conservation: a smile makeover does not always have to be extreme. Inside Dentistry. 2007;3(2):74.

5. Hess L. Interdisciplinary synergy: managing complex treatment objectives for a predictable esthetic result. Advanced Esthetics and Interdisciplinary Dentistry. 2006:2(2):10-18.

6. Chiche GJ, Pinault A. Esthetics of Anterior Fixed Prosthodontics. Hanover Park, Ill: Quintessence Publishing Co; 1994:23.

7. Wolfart S, Thormann H, Freitag S, et al. Assessment of dental appearance following changes in incisor proportions. Eur J Oral Sci. 2005;113(2):159-165.

8. Ascheim KW, Dale BG. Esthetic Dentistry: A Clinical Approach to Techniques and Materials. 2nd ed. St. Louis, Mo: Mosby; 2000:31.

9. Magne P, Gallucci GO, Belser UC. Anatomic crown width/length ratios of unworn and worn maxillary teeth in white subjects. J Prosthet Dent. 2003:89(5):453-461.

10. Vig RG, Brundo CG. The kinetics of anterior tooth display. J Prosthet Dent. 1978;39(5):502-504.

11. Chiche GJ, Pinault A. Esthetics of Anterior Fixed Prosthodontics. Hanover Park, Ill: Quintessence Pub Co; 1994:21.

12. Dawson P. Evaluation, Diagnosis, and Treatment of Occlusal Problems. 2nd ed. St. Louis, Mo: Mosby; 1988:330.

13. Cranham J. The horizontal position of the maxillary incisal edge: the key to optimum esthetics, phonetics, and function. Contemporary Esthetics and Restorative Practice. 2006;10(2):22-24.

14. Hess L. The relevance of occlusion in the golden age of esthetics. Inside Dentistry. 2008;4(2):36-44.

15. Dawson P. Functional Occlusion: From TMJ to Smile Design. St. Louis, Mo: Mosby; 2006:181.

16. Dawson P. Functional Occlusion: From TMJ to Smile Design. St. Louis, Mo: Mosby; 2006.

About the Author

Leonard A. Hess, DDS, Private Practice, Monroe, North Carolina, Associate Faculty, Dawson Academy

Figure 1  Full-face photograph of case one.

Figure 1

Figure 2  Figure 2 through Figure 4 Preoperative 1:3 smile for the patient in case one.

Figure 2

Figure 3  Figure 2 through Figure 4 Preoperative 1:3 smile for the patient in case one.

Figure 3

Figure 4  Figure 2 through Figure 4 Preoperative 1:3 smile for the patient in case one.

Figure 4

Figure 5  Large diastemas can present a restorative challenge. With the patient in case one, obtaining better axial inclinations and proportion was paramount.

Figure 5

Figure 6  Rest position for case one. Note the excessive amount of incisor shown. Ideally, around 2 mm of incisor should be visible.

Figure 6

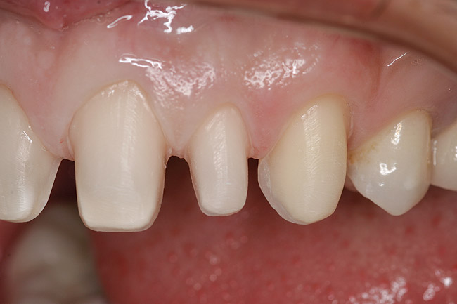
Figure 7  The final preparations in case one. The facial reduction was minimized to leave the preparations in enamel.

Figure 7

Figure 8  The final preparations in case one. The facial reduction was minimized to leave the preparations in enamel.

Figure 8

Figure 9  The finish lines associated with the diastemas must transition slightly subgingival. This will allow better emergence profiles of the restorations.

Figure 9

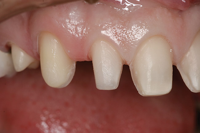
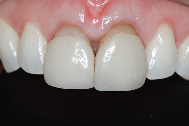
Figure 10  The final restorations in case one. More ideal width-to-length ratios, axial inclination, and golden proportion have been achieved. And, most importantly, no more diastemas were present.

Figure 10

Figure 11  The final restorations in case one. More ideal width-to-length ratios, axial inclination, and golden proportion have been achieved. And, most importantly, no more diastemas were present.

Figure 11

Figure 12  The final restorations in case one. More ideal width-to-length ratios, axial inclination, and golden proportion have been achieved. And, most importantly, no more diastemas were present.

Figure 12

Figure 13  Proper margin placement interproximally has allowed natural emergence profiles and eliminated the possibility of black triangles.

Figure 13

Figure 14  Final full-face photograph of case one. Proper vertical incisal edge position has been established.

Figure 14

Figure 15  The preoperative full-face photograph of case two. The patient complained of a

Figure 15

Figure 16  The tip-down smile photo of case two. The anteriorly positioned incisal edges of teeth Nos. 8 and 9 can be clearly seen.

Figure 16

Figure 17  The 90¬∞ smile photograph of case two. The trajectory of the incisal edges is too far to the labial.

Figure 17

Figure 18  The rest position photograph of case two. Ideally, about 3.5 mm of incisor should be seen in this position.

Figure 18

Figure 19   The

Figure 19

Figure 20  The 1:3 full smile of case two. Note the dominance of the central incisors, poor anterior occlusal plane, and displeasing position of the gingival zeniths.

Figure 20

Figure 21  In the diagnostic phase, care was taken to create idealized contours and emergence profiles even on the wax-up. This will allow accurate provisionalization and transfer of information to the laboratory.

Figure 21

Figure 22  In the diagnostic phase, care was taken to create idealized contours and emergence profiles even on the wax-up. This will allow accurate provisionalization and transfer of information to the laboratory.

Figure 22

Figure 23  Case two after hard- and soft-tissue crown lengthening.

Figure 23

Figure 24  Case two after hard- and soft-tissue crown lengthening.

Figure 24

Figure 25  Note the poor emergence profile of the central incisors after the completed crown lengthening.

Figure 25

Figure 26  Note the three-plane reduction of the central incisors. This is critical to allow the incisal edges to be lingualized and still restore the teeth with natural facial contour.

Figure 26

Figure 27  Putty stents are created from the wax-up to visualize if proper incisal and even facial reduction has been obtained.

Figure 27

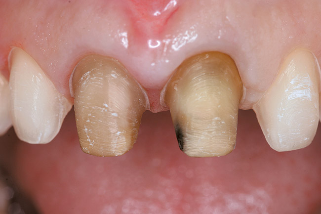
Figure 28  The final preparations of case two. Note the extremely dark dentin associated with the central incisors.

Figure 28

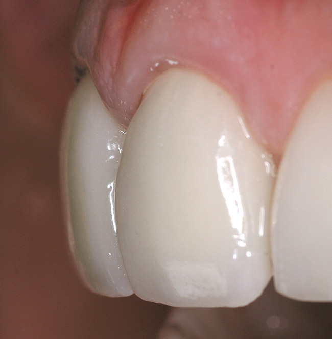
Figure 29  The final restorations of case two exhibit natural emergence from the surgically positioned tissues, and ideal facial contour.

Figure 29

Figure 30  The final restorations in case two. Captek crowns were used to block the dark tooth structure of the centrals. eMax veneers were placed on the lateral incisors and canines.

Figure 30

Figure 31  The postoperative full-face photograph of case two. The

Figure 31

CREDITS: 0
AGD CODE: 730 - Treatment Planning
COST: $0
PROVIDER: Conexiant Education
SOURCE: The Dawson Academy | November 2014
COMMERCIAL SUPPORTER: The Dawson Academy

Learning Objectives:

After reading this article, the reader should be able to:

  • identify a consistent methodology in diagnosis and planning.
  • discuss the factors affecting the position of the incisal edges.
  • describe how to determine the vertical and horizontal incisal edge positions.
  • list six factors to consider when making a selection of the restorative material for indirect restorations.

Disclosures:

The author reports no conflicts of interest associated with this work.

Queries for the author may be directed to justin.romano@broadcastmed.com.